歯周病とは
歯周病は日本人の80%以上がかかっていると言われています。
初期の段階ではほとんど自覚症状がなく、以下のような自覚症状が出たときには既に歯周病がかなり進行している事が多いのです。
予防と早期の治療が大切です。
歯周病の初期段階の”歯肉炎”は子供を含むほとんどの年代の人に見られます。
歯肉炎をそのままの状態にしておくと”歯周炎”に進行します。
”歯周炎”は歯ぐきの状態が悪化し、歯を支える骨も破壊されるため歯
がグラグラと動くようになり、最終的には歯が抜けてしまいます。

歯科一般・小児歯科・矯正歯科・歯科口腔外科・予防歯科・審美歯科・ホワイトニング・義歯・歯周病・かみあわせ
ホーム ≫ 歯周病 ≫
歯周病は日本人の80%以上がかかっていると言われています。
初期の段階ではほとんど自覚症状がなく、以下のような自覚症状が出たときには既に歯周病がかなり進行している事が多いのです。
予防と早期の治療が大切です。
歯周病の初期段階の”歯肉炎”は子供を含むほとんどの年代の人に見られます。
歯肉炎をそのままの状態にしておくと”歯周炎”に進行します。
”歯周炎”は歯ぐきの状態が悪化し、歯を支える骨も破壊されるため歯
がグラグラと動くようになり、最終的には歯が抜けてしまいます。

歯と歯ぐきの間にプラークや
歯石がたまって歯ぐきが腫れ、
出血しやすくなっています。
歯を支える骨にはあまり影響がない状態
歯周ポケットが形成され歯石が
深部まで付着しています。
歯を支える骨が半分くらい失っています
歯周ポケットが4〜6mm程度
歯を支える骨がなくなってきて歯がぐらつき、このままだと
歯が抜けてしまう状態。
歯ぐきが下がる
膿が出るなどの症状も見られる。
歯周ポケットが6mm以上
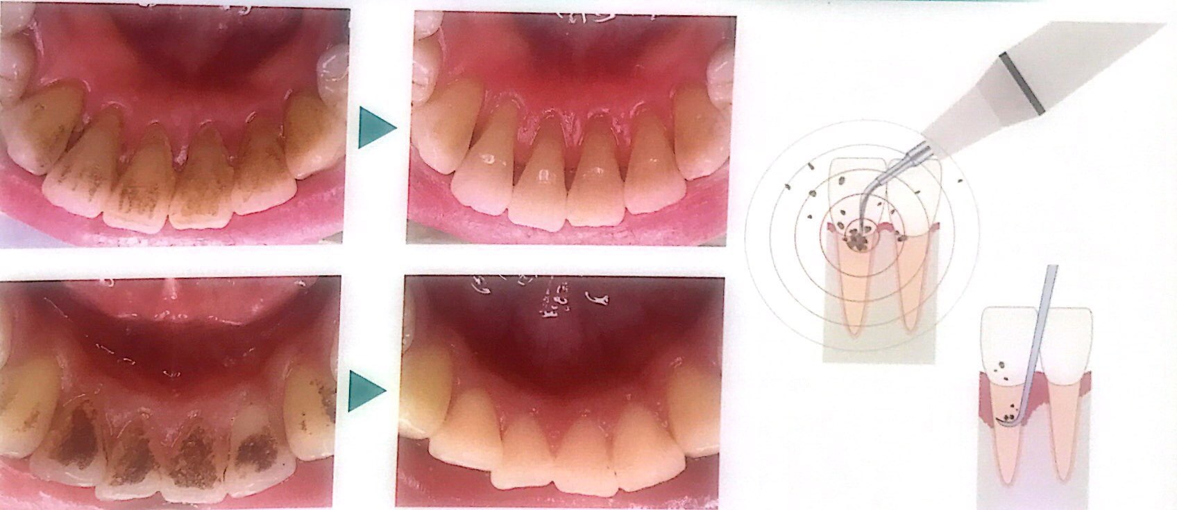
磨きにくい部分をキレイにします
磨き残しやすい部分は、歯科医師や歯科衛生士が専門の器具や歯ブラシ、デンタルフロスなどを使ってキレイにします

歯石や着色も専門の器具を使い清掃していきます
